M.I.C.O.

Minimally Invasive Calcaneal Osteotomy

Minimally Invasive Calcaneal Osteotomy Surgery

Mr Redfern may recommend re-alignment of the heel bone (calcaneum) in some circumstances. This is necessary when the forces acting across the ankle need to be re-aligned such as when the foot has become flatter (or sometimes if the foot has a very high arch too).

heel valgus shot.png

This operation usually forms one component of a larger overall operation (eg flatfoot reconstruction) although it is occasionally performed in isolation.

Traditionally this is done with an open incision on the outside of the heel bone (calcaneum) but Mr Redfern and a French colleague have developed a minimally invasive method of undertaking the same operation using keyhole incisions.

See flatfoot reconstruction surgery

Mr Redfern’s keyhole operation is called MICO (Minimally Invasive Calcaneal Osteotomy. It is also referred to as the PROstep calcaneal osteotomy.

calc ost incision.png
Learn more about PROstep calcaneal ostoeotomy as designed and pioneered by Mr Redfern
Minimally invasive surgery minimises wound complications and improves cosmesis by reducing the incision length to two 1cm incisions.
— Mr Redfern, Pioneer of Minimally invasive Surgery in the foot and ankle
calc+ost+photo.jpg

Tiny incisions

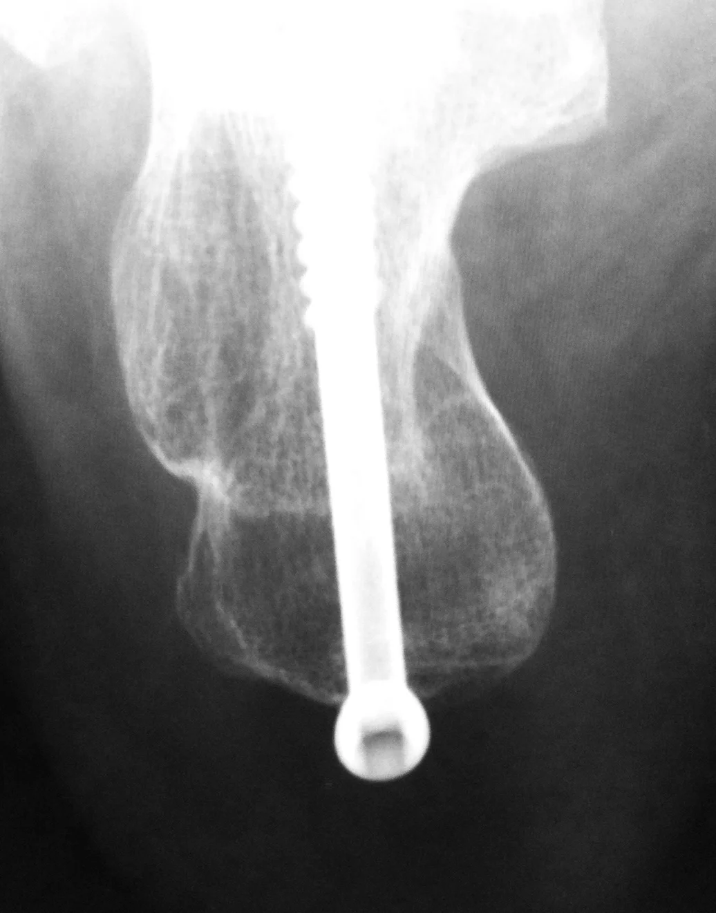
Mr Redfern performs this surgery through two 1cm incisions which are literally a fraction of the size used with open surgery. Using these small incisions, he can re-align the heel bone using a tiny drill (burr) to cut the calcaneum, re-align it and then fix it in position using a screw. This is all carried out using high-tech image guidance (x-ray image intensifier).

Burr in hand .png

Minimally Invasive Surgery

State-of-the-art fine cutting instruments allow delicate surgery through keyhole incisions

MRI+calc+ost+annotated.jpg

Minimally Invasive Calcaneal Osteotomy

Here is an MRI of a minimally invasive calcaneal osteotomy that has healed. The scan image has been annotated to show the site of the cut and the direction of re-alignment. The position of the important tibial nerve and blood vessels has also been marked to show that they are well clear of the site of the keyhole surgery. The risk of kind of nerve injury is less than 1:500 in Mr Redfern’s practice.